Comfortable Dentistry

Complex Tooth Loss and Malocclusion Case

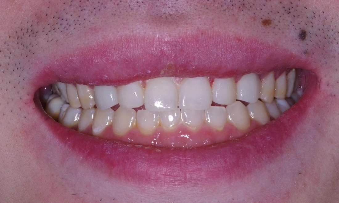
This patient had two missing teeth, a gummy smile, and crooked teeth so we performed a surgical crown lengthening treatment followed by Invisalign® orthodontic treatment. Finally, we placed and restored two dental implants.

Call Us for Dental Implants in Coral Gables, FL

Please call our dental office today for more information. 

Are You Ready to Book Your Next Dental Visit?
If you have difficulty using our website, please email us or call us at (305) 444-7345
View the ADA Accessibility Statement